2021年4月26日,best365中国官方网站生命学院刘万里教授、药学院张永辉研究员、北京大学神经科学研究所张勇研究员通力合作,在免疫学损伤相关模式分子(DAMP)研究领域取得重要进展,在PLOS Biology杂志上发表了题为“法尼基焦磷酸作为新型免疫系统危险信号引起急性细胞坏死”(Farnesyl pyrophosphate is a new danger signal inducing acute cell death)研究长文。该论文致力于探寻全新免疫学损伤相关模式分子,联合运用分子免疫学、细胞生物学、有机化学、药学、化学生物学、神经生物学等前沿交叉学科研究平台,揭示甲羟戊酸代谢途径来源的异戊二烯是一类全新的属于脂类家族的DAMP,作为新型危险信号(danger signal),通过与瞬态受体电位(TRP)家族阳离子通道相互作用,介导胞外钙离子内流,进而胞浆钙离子过载,引起细胞急性死亡,并初步检测该代谢通路在脑梗疾病模型中的临床价值。
损伤相关模式分子(DAMP)作为机体自体细胞破损或者坏死后释放到细胞间隙或血液循环中的一类物质,可作为危险信号,通过Toll样受体、RIG-1样受体或NOD样受体等模式识别受体,刺激免疫系统,在关节炎、动脉粥样硬化、血栓、心梗脑梗、肿瘤等相关疾病的发生和发展过程中发挥重要作用。当代免疫学已经发现的相关DAMPs,主要有归属于蛋白家族的高迁移率组蛋白B1(HMGB1)、以及归属于小分子化合物家族的ATP、尿酸等,数量非常有限。因此发现新型的DAMP家族,并深化认识危险信号DAMP刺激免疫系统进而诱发各类相关疾病的分子机制,是基础免疫学领域的核心难题之一。
甲羟戊酸代谢通路是一条广泛存在、高度保守且动态调控的代谢通路,在上个世纪曾被广泛研究。Konrad Emil Bloch于二十世纪50年代揭示甲羟戊酸代谢通路产生二甲基丙烯基二磷酸(DMAPP)、异戊烯焦磷酸(IPP)及其下游胆固醇的生物化学机制。Joseph Goldstein和Michael Brown共同发现了低密度脂蛋白受体、胆固醇和心脑血管病的重要关系,远藤章教授在真菌中筛选出美伐他汀(靶向甲羟戊酸代谢通路的第一个节点分子,HMG-CoA reductase),揭开了人类用化学小分子药物治疗心脑血管疾病的历史篇章。该论文相关课题组(best365中国官方网站药学院张永辉、医学院石彦、生命学院刘万里研究团队合作)近年来已发表工作揭示甲羟戊酸途径可作为疫苗佐剂研发药物靶点(Cell,2018)。
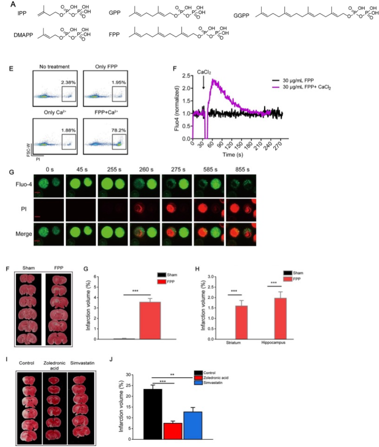
在此基础上,best365中国官方网站生命学院刘万里课题组,药学院张永辉课题组和北京大学医学部张勇课题组合作,发现甲羟戊酸途径的五类主要中间代谢产物中,只有法尼基焦磷酸(FPP)和牻牛儿基牻牛儿基焦磷酸(GGPP),而不是两者上游的DMAPP、IPP和GPP代谢分子,能够作为危险信号发挥作用,引发细胞外钙内流后胞浆钙离子过载介导的急性细胞坏死。FPP由包含15个碳的疏水性异戊二烯烃链和带负电的焦磷酸酯头组成,通过化学生物学合成的一系列FPP突变体实验揭示,FPP 导致的急性细胞坏死依赖于FPP的双磷酸头结构和不饱和烃链结构,另外通过细胞外缓冲液置换实验发现FPP导致的急性细胞坏死依赖于胞外钙离子内流引起的胞浆钙过载。通过逐一测试已知的免疫细胞表达的阳离子通道,发现非选择性阳离子通道---瞬态受体电位褪黑素家族成员(TRPM)---在FPP诱导的急性细胞坏死中发挥重要作用,且体外细胞水平的电生理实验揭示细胞外液中存在的FPP能够打开TRPM成员TPRM2。TRPM家族成员在神经系统和免疫系统中表达量最高,脑中胆固醇含量占全身的 25%且主要依靠本地合成(揭示甲羟戊酸代谢途径在大脑中高度活跃)。进而在神经系统中检测 FPP/TRPM2 信号轴的功能,结果显示FPP能够引起体外培养的原代海马神经元的急性细胞死亡,在大脑中动脉闭塞(MCAO)的小鼠疾病模型实验中,观察到FPP在梗死侧半脑组织中的积累,有趣的是直接向小鼠海马和纹状体脑区注射FPP也会导致与脑梗死类似的神经损伤。此外,MCAO手术造成的损伤能够被甲羟戊酸代谢通路抑制剂辛伐他汀,唑来膦酸以及TRPM抑制剂TPPO缓解。
上述一系列基于前沿交叉学科研究平台的研究表明甲羟戊酸代谢途径来源的异戊二烯成员FPP和GGPP是一类全新的属于脂类家族的DAMP,作为新型危险信号(danger signal),通过与受体瞬态受体电位阳离子通道(TRPM2)相互作用介导胞外钙离子内流,进而胞浆钙离子过载,引起细胞急性死亡,该危险信号轴在缺血性卒中造成的损伤中发挥着重要作用,展示初步的临床干预价值。
best365中国官方网站生命学院刘万里教授为本研究第一通讯作者(lead corresponding author)、best365中国官方网站药学院/生命中心张永辉研究员、北京大学神经科学研究所/脑研究所张勇研究员为共同通讯作者。刘万里团队已毕业陈静博士、张勇团队在站张小臣博士后、张永辉团队已毕业李丽萍博士为本文的并列第一作者。该研究得到了基金委、科技部、best365中国官方网站免疫所、清华北大联合生命中心、北京大学IDG/McGovern脑研究所等资助。
论文链接:https://journals.plos.org/plosbiology/article?id=10.1371/journal.pbio.3001134
刘万里现任best365中国官方网站生命学院、免疫所、清华北大生命科学联合中心教授。整合交叉学科平台聚焦淋巴细胞免疫活化和抗体应答研究(Science、Science Immunology、Science Advances、Science Signaling、Cell、Cell Research、J Exp Med和PNAS),相关成果入选2018年度中国十大医学科技新闻等。任Frontiers in Immunology副主编、中国免疫学杂志编委。
张永辉现任best365中国官方网站药学院,清华北大联合生命中心、北京市人脑保护高精尖创新中心、教育部磷化学与化学生物学重点实验室研究员、RSC Medicinal Chemistry副主编,英国皇家化学会会士,长期研究甲羟戊酸通路对免疫的关联,曾报道了该通路代谢产物GGPP对抗原递呈的调控(Cell, 2018, 175, 1059)及DMAPP、IPP激活γδT细胞的分子机制 (Immunity, 2019, 50, 1043)。
张勇现任北京大学神经科学研究所,北京大学IDG/McGovern脑研究所特聘研究员。该研究受到国家自然科学基金(批准号:31771125、31790911、81521063)等资助。

FPP作为全新的危险信号DAMP通过与TRP家族阳离子通道相互作用介导胞外钙离子内流过载引起的急性细胞死亡,该危险信号轴在缺血性卒中造成的损伤中发挥着重要作用,展示初步的临床干预价值